
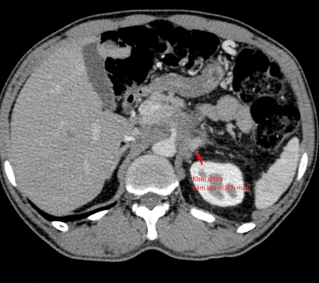
Kết quả chẩn đoán hình ảnh khối u tụy xâm lấn mạch máu của bệnh nhân - Ảnh: VGP
Từ ca bệnh khó xác định
Theo lời kể, sau khi thăm khám tại nhiều cơ sở y tế, người bệnh được phát hiện có khối u tụy xâm lấn mạch máu. Tuy nhiên, do chưa xác định được bản chất khối u, bệnh nhân rơi vào bế tắc trong điều trị. Với tâm lý “còn nước còn tát”, người bệnh đi cầu cúng nhiều nơi, thậm chí tuyệt thực suốt 3 tuần với hy vọng “bỏ đói” khối u.
Kết quả, khối u không thay đổi, trong khi bệnh nhân sụt 14 kg, thể trạng suy kiệt nặng. Trong tình trạng sức khỏe nguy kịch, bệnh nhân đến Bệnh viện Đa khoa Phương Đông với mong muốn xác định chẩn đoán.
Các bác sĩ cho biết, sinh thiết là chìa khóa điều trị u tụy, song khối u nằm ở vị trí nguy hiểm, tiềm ẩn rủi ro cao nên trước đó chưa thể thực hiện sinh thiết khối u.

ThS. BSNT Trần Văn Giang đang thực hiện kỹ thuật sinh thiết khối u tuỵ dưới hướng dẫn cắt lớp vi tính - Ảnh: VGP
…đến chẩn đoán then chốt
Sau khi rà soát, đánh giá lại toàn bộ dữ liệu hình ảnh, đường tiếp cận tổn thương và tiến hành hội chẩn, các bác sĩ tại Trung tâm Chẩn đoán hình ảnh và Điện quang can thiệp Quốc tế Phương Đông nhận định, những đường tiếp cận sinh thiết thông thường đều không khả thi. Lựa chọn duy nhất còn lại là một “khe cửa hẹp” - tiếp cận từ phía sau, xuyên qua khoảng giữa cột sống và thận.
Đây là đường vào đặc biệt khó, tiềm ẩn nhiều rủi ro, đòi hỏi trình độ chuyên môn cao và kỹ thuật can thiệp chính xác. Tuy nhiên, nếu không xác định được mô bệnh học, bệnh nhân gần như không còn cơ hội tiếp cận các phác đồ điều trị chuẩn mực. Trước tình thế đó, ê-kíp bác sĩ đã quyết định thực hiện can thiệp.
Chia sẻ về ca bệnh, ThS. BSNT Trần Văn Giang, Phó Giám đốc Trung tâm Chẩn đoán hình ảnh và Điện quang can thiệp Quốc tế Phương Đông cho biết, bên cạnh kinh nghiệm lâm sàng và khả năng đánh giá giải phẫu của bác sĩ, hệ thống CT đa dãy độ phân giải cao đóng vai trò then chốt trong việc lựa chọn đường tiếp cận và bảo đảm an toàn cho thủ thuật.
Theo BSNT Trần Văn Giang, khối u tụy nằm ở vị trí đặc biệt phức tạp, tiếp giáp nhiều mạch máu lớn và các tạng quan trọng, do đó cần xác định chính xác hướng vào an toàn ngay từ đầu. Các bác sĩ đã sử dụng chụp cắt lớp vi tính độ phân giải cao để tái tạo hình ảnh đa mặt phẳng, đánh giá chi tiết mối liên quan giữa khối u và các cấu trúc lân cận, từ đó lựa chọn hướng sinh thiết tối ưu.
Nhờ khả năng định vị chính xác của hệ thống CT, kim sinh thiết được dẫn đường an toàn tới khối u, lấy được bệnh phẩm đạt yêu cầu, không ghi nhận biến chứng, giúp bệnh nhân sớm có chẩn đoán mô bệnh học để xây dựng chiến lược điều trị tiếp theo.
HM